
Full-Mouth Rehabilitation
The mouth is an organ. Thus, if components of that organ are starting to deteriorate, or fail, you need help. For example, if you know someone who has an alcohol problem, their liver probably suffers from damage. Now, if the person stops the damage can be repaired. However, if the damage is too great, the organ fails or needs a transplant.
In the same way, the teeth can be repaired, if the problems are addressed sooner than later. However, if the teeth are too damaged, dental implants are the equivalent of a “dental transplant”, to help you function closer to normal teeth. If most/all of your teeth are severely damaged or missing, you need dramatic restorative dentistry, otherwise known as “full mouth rehabilitation.” You can get full-mouth rehabilitation at our dental office in Round Rock, TX.
Dr. Ace Jovanovski is a dentist with prosthodontic training, one of the recognized specialties by the American Dental Association. Interestingly, it takes more than a decade to become specialized; (4 years undergraduate studies, 4 years dental school, 1 year research or residency, 3-4 years specialty training). In fact, we do many dental services under one roof.
Attention to fine detail is important. Out of many dental students, only few go on to do a residency in a designated specialty. Why so few? Because, it takes extra time and commitment to excellence beyond general dental training. Also, it is hard to get into advanced training due to the limited slots available and small number of programs across the nation.
DENTAL LABORATORY SELECTION IN FULL MOUTH REHABILITATION
The dentist is only a part of the story, the lab also contributes to making your teeth. Most dentists have to send a lot of their dental work “out” to a lab. However, we have a dental lab onsite. Most of the work is done here. In fact, there are only a few dentists that have an actual dental laboratory in-office. Not all dentists know the name of the technician that will make your crowns or veneers. At our practice, you can meet our technicians in person. In that way, you get custom oral healthcare. If you fix one tooth or a whole set of teeth, we are here to help you!
PICKING THE RIGHT DOCTOR
We want you to be confident you chose the right care. Dentistry can be expensive, so pick someone you are comfortable with. Dr. Ace will help you understand what is happening with your smile and overall oral health. Both you and the doctor will decide what treatment is best for your needs and current financial situation. Financing options exist if you need to do complex full mouth rehabilitation.
Contact us today to learn more about how Dr. Ace Jovanovski can restore your smile.
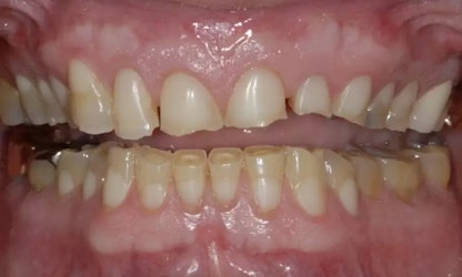
I Have Worn Teeth, Can I Save Them?
BEFORE Photo: Look at the wear on the teeth. This is how the patient came into the office during the new patient visit.
Wear on all surfaces of the teeth. Look how uneven the bite is.
Yes! Indeed, if you have strong bone, good roots, and enough remaining healthy tooth structure, you can save your teeth.
To begin with, Dr. Ace considers which teeth are saveable. Accordingly, our team takes X-rays, CTs, models, and photos to determine if teeth are good enough to save long-term. To save your teeth, Dr. Ace often uses high-strength ceramic crowns to cover and protect your damaged teeth.
THE PROCESS:
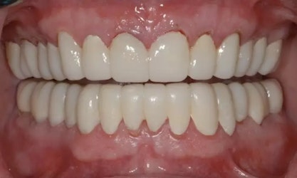
First, the teeth are reshaped so that a crown fits on top of the remaining tooth structure. To illustrate, think of a thimble you use that fits over your finger. In the same way, a crown fits over your tooth. Second, a mold is taken of the modified teeth after they have been reshaped or prepared. Third, Dr. Ace makes a “prototype” or provisional that you wear during the time the case is completed in the laboratory. We often use a resin or acrylic material to make your provisional teeth.

There are many different artists out there, and they are not all created equal. Compared to the final ceramic crowns, the provisional teeth are softer and/or weaker. For this reason, you must be cautious not to bite into really hard foods during the interim period. Dr. Ace uses REALLY GOOD labs to make your teeth.
In fact, he estimates that it takes anywhere from 8-12 hours to fabricate each tooth. As a result, there is a high level of detail and quality in each crown that you receive. In fact, it takes 8 hours for a single ceramic (zirconia) heat treatment in the porcelain oven. Next, the technician colors, or layers, different shades onto the crown. Finally, the ceramist adds texture and detail to the anatomy of the tooth.
DELIVERY OF THE CROWNS FULL MOUTH REHABILITATION

A separate appointment allows Dr. Ace to deliver the crowns. Nevertheless, we do not take shortcuts. There is a difference in the way that the crowns are put on to the teeth. Most dentists “glue” or “cement” the crowns to your tooth. In contrast, Dr. Ace takes several extra steps to physically and chemically “BOND” the crowns to your tooth. Hence, you have a maximum LONGTERM bond strength due to the preparation, decontamination, and isolation during the delivery process.
MAINTENANCE AND FOLLOWUP IN FULL MOUTH REHABILITATION
In order to protect all of the hard work, Dr. Ace makes a night guard that fits over your teeth. The purpose is that if you grind, the plastic gets worn down first. From there, minimum maintenance occurs every 4-6 months. Specifically, an “engineering check” of the teeth and the night guards during the cleaning or maintenance appointments provides continuity of care. Generally speaking, future treatment may involve one or two specific problems that are routinely handled by most dentists. With proper care, you can enjoy your new teeth on a daily basis.
AFTER
BEFORE
MORE SMILE MAKEOVERS
BEFORE MAKEOVER
AFTER MAKEOVER
MORE, MORE, MORE…. SMILE EXAMPLES OF FULL MOUTH REHABILITATION:
AS THEY SAY IN TEXAS… THIS IS NOT OUR FIRST RODEO!
BEFORE
AFTER
BEFORE
AFTER
How Dental Implants Can Help You In Full Mouth Rehab
What if you can’t save your teeth? Options besides old-fashioned dentures? The short answer: YES! Dental implants provide secure anchor points in your jaw, Dr. Ace Jovanovski can attach anything from a single tooth restoration to an entire arch of teeth.
In fact, you can replace damaged or missing teeth with implants and SAVE the remaining teeth. In contrast, there are some CORPORATE dental offices that have TV COMMERCIALS claiming a one-treatment-for-all solution. Dr. Ace uses personalized plans, that takes your best interest into consideration. The clear choice is Jovan Prosthodontics.
He can even provide a full arch of new teeth with only four dental implants using the All-on-4® treatment concept, completely replacing any severely damaged or missing teeth in your top or bottom jaw.
BEFORE
AFTER
Whether you decide to use the All-on-4® treatment concept or not, dental implants are a stable, comfortable way to replace teeth. These replacement teeth provide a natural feel, look, and function. They do come loose or slip in any way, which is why many patients prefer dental implants to adhesive-based dentures or other dental restorations.
BEFORE
After
Full-Mouth Rehabilitation With Dentures
You have several options when it comes to dentures. In addition to our modern removable dentures, your dentures can also be attached directly onto dental implants for a better fitting solution.
There are two (main) types of dental implant dentures:
- Implant-retained dentures fasten directly to your dental implants using ball or locator attachments that rest on your gums.
- A custom milled titanium bar supports your removable denture. The bar allows for a sturdy resting spot for the denture to sit over.
Regardless of the type you choose, dental implant dentures will help prevent many common frustrations of traditional dentures, like gum irritation, loose fit, glue, and gagging.
Removable Locator Overdenture (Implants are Single)
Bar Supported Denture (Implants are connected by a titanium bar)
If you've asked yourself these questions, this video explains the differences and benefits between all of these devices. If you still have questions, then you may need a consultation! These consultations include a 3D CT Scan.
Teeth In One Day At Jovan Prosthodontics
Our Teeth In One Day procedure is exactly what it sounds like: we’ll place a crown or even a whole new set of teeth attached to implants in the same day of the surgery. That’s right! Weather you show up at our office needing replacement of just one tooth, or a whole set of teeth, walk out that same day with teeth! We can even replace a full smile in just a few visits.
This feature is unique to Jovan Prosthodontics, thanks to our state-of-the-art lab and highly-qualified personnel. Dr. Ace Jovanovski, a Round Rock TX dentist, is the only dentist the world who’s received a Master Certificate in Dental Technology (MCDT) from the National Board for Certification in Dental Technology.
We can custom-craft dental appliances as you sit in the chair. With our restorations, you may not even need adjustments to your dental work, saving you time and frustration!
ACT NOW!
Don’t put up with missing or badly damaged teeth another day. Full mouth rehabilitation doesn’t have to be hard. Say no to loose, uncomfortable dentures. Call 512-716-1200 today or fill out our online form to schedule your full-mouth reconstruction with Dr. Ace Jovanovski if you are in the Austin, Round Rock – Georgetown TX area.