Dental Implants in Round Rock, TX
You could visit any number of dentists for dental implants in Round Rock, TX, but there's only one who can call himself a certified master of the tools he uses to restore your smile.
Set up an appointment with Dr. Ace Jovanovski—the only dentist in the world with a Master Certificate in Dental Technology—for a level of quality in implant dentistry that simply cannot be found elsewhere.
The Power of Implants Explained by Dr. Ace Jovanovski
Dental implants are your best choice if you want a restored smile for life. Dr. Ace Jovanovski is trained in both the surgical and restorative aspects of implant dentistry, which means you only have to work with one Round Rock, TX, practice for your entire treatment.
Dr. Ace's elite care has earned him a solid
5.0 rating on Google
Incredible Implant Results Provided by Round Rock's Top Prosthodontist
As a prosthodontist, Dr. Ace can perform all kinds of restorative treatments for your oral health and function. He can combine them into a streamlined treatment plan called full mouth reconstruction that achieves your goals faster. See what full mouth reconstruction with dental implants did for one patient:
"Exceptional work with great care and pride."
I have been to many dentists in my life and Dr. Ace is by far the best. He has done implants and crowns that have transformed my smile and I keep going back when I need dental work because I know I can trust him to do excellent work. His professional and reassuring manner put me at ease, he tells me what's happening every step of the way, and his staff is attentive and focused.
View on GoogleThis is a practice that does exceptional work with great care & pride. I have genetically missing teeth & a great deal of bone loss,-- my entire upper is bridges, crowns & implants. It's not an easy case & at nearly 60, I have had several prosthodontists but none compare to the quality, competence & care found here.
View on Google3+ Million Americans Have Received Dental Implants
Transform Your Smile with Dental Implants
Wondering whether dental implants and implant-supported crowns, bridges, or dentures are a trustworthy option?

Getting dental implants from a master dentist like Dr. Ace gives you an even better opportunity to enjoy these wins for years to come.
Restore the Function of Your Bite
Maximum Results, Minimal Discomfort Ensure a Relaxed Experience With Sedation
Your comfort comes first. While Dr. Ace thoroughly numbs the area before implant placement, we also have sedation options to help those who have:
- Dental Anxiety
- Sensitive Smiles
- Trouble Sitting Still
- Strong Gag Reflexes
Let us know what we can do to make your dental experience at our Round Rock dental office as comfortable as possible.
Six Steps to a New Smile Dr. Ace's Dental Implant Timeline
As a prosthodontist and dental technology master, Dr. Ace can handle your dental implant treatment in Round Rock, TX, from start to finish. You can see your final results in less than a year. Working with one doctor streamlines your experience.
Put Implants to Work for You With Help From Round Rock's Best Restorative Dentist
Why choose Jovan Prosthodontics in Round Rock for your dental implants? Let Dr. Ace explain:
Treatment planning geared towards what you actually want and need
Approaches that get to the root of the issue
Options you can’t find at corporate dental practices
Personalized care plans that incorporate preventive measures
Ready to Get Started?
"One of the best decisions I have ever made."
Absolutely the best dental experience I have ever had. Dr Ace did an almost full lower implant and it was one of the best decisions I have ever made. Worth every penney!
View on Google
Dr Ace and his team are absolutely fantastic! They made my journey so lovely from start to finish! I love my smile and I will always be grateful for all the joy they brought me during the process and now for the rest of my life!
View on GoogleOnly a Professional Can See if You're Eligible Call a Prosthodontist Today
If you aren't sure whether implants are right for you, Dr. Ace can tell you. There's a great chance you qualify for treatment with our prosthodontist—the right skills in the right hands make life-changing treatment possible. Call our office in Round Rock, and we'll find a time for you to come in and meet with Dr. Ace.
Most Patients Can Qualify With the Help of Dr. Ace's Expert Care
Dr. Ace Can Prepare You for Dental Implants
Tooth decay, gum disease, or low jawbone density are minor obstacles in your path to implants when you work with Dr. Ace. Any preparatory treatment you could need is available at our Round Rock dentist's office.
The All-on-4 Method Can Simplify Treatment
Dr. Ace also offers All-on-4® dental implants, a method for replacing an entire arch of teeth even in areas of lower bone density. More patients qualify for this modern implant denture option.
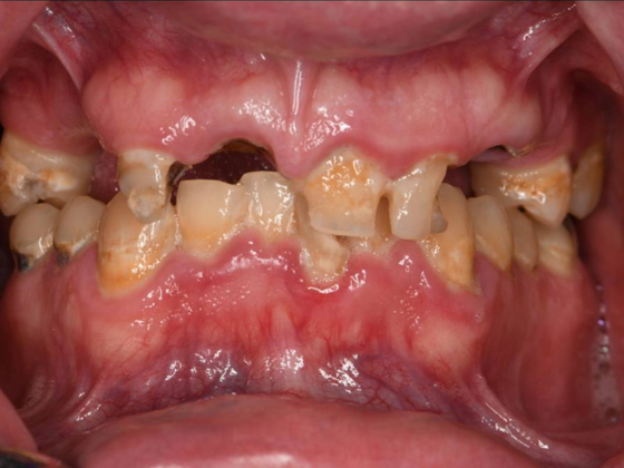
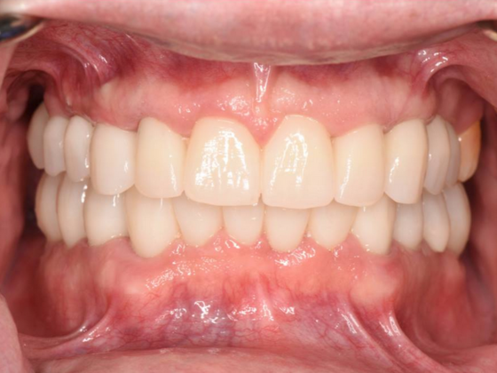
Linda's Brand-New Smile
With Implants
“I didn’t even know what a prosthodontist was
before I found Dr. Ace Jovanovski.”
"I didn’t even know what a prosthodontist was before I found Dr. Ace Jovanovski.
Over the years I have had implants fail due to bone loss and teeth wearing down after use - both situations requiring new teeth. Boy, did I hit the jackpot with Dr. Jovanovski!
After my consultation, I knew I had found the right doctor, and I now have the best fitting and looking teeth of my entire life.
He delivered my teeth on my third visit, and because he is also a lab technician, was able to fine tune the fit that same day until it is absolutely perfect!
I am so grateful to have found him and am enjoying my beautiful, new smile!"

Restorations for Every Need Find the Right Solution the First Time With Dr. Ace

Dental Crowns
Dr. Ace pairs dental crowns with dental implants to replace single missing teeth at a time. Precise attention to shape, size, and proportion creates a seamless finished result.

Dental Bridges
If you need to replace a few teeth in a row, a dental bridge from Dr. Ace is what you're looking for. Top-of-class materials ensure the full force of your bite is supported.

Dentures
Dr. Ace's implant-supported dentures don't slip or slide around. No embarrassing moments at the dinner table for Jovan Prosthodontics patients.
FAQ
About Dental Implants in Round Rock
Q. Does implant placement hurt?
A. No, dental implants don't hurt when they're placed by a prosthodontist with the level of experience Dr. Ace has. He'll thoroughly numb the area before any treatment begins, and you can receive sedation as full reassurance.
Q. How long will my implants and restorations last?
A. Dental implants can last a lifetime. Restorations wear over time and will eventually need to be replaced, but that likely won't happen for at least 10-15 years. Dr. Ace designs crowns, bridges, and dentures for longevity.
Q. Will I need to avoid certain foods with dental implants?
A. No! You'll be able to eat whatever you want with dental implants. You can treat implant-supported restorations just like you would treat natural teeth.
Q. I was told I don't qualify for dental implants. Can you help?
A. Dr. Ace can absolutely help, whether the issue is with your oral health or jawbone density. Treatments like laser gum care, bone grafting, and sinus lifts can improve your candidacy. They're all performed here at our Round Rock office.
Have more questions?
“Initially, I was there for Dr. Ace to correct an implant issue that was recently performed by another endodontist. The corrective work was so expertly done by Dr. Ace, that I did not hesitate to go back when I needed an additional implant and crown… Under their care, my procedures are significantly less painful, healing is faster, and Dr. Ace uses proven state-of-the-art technology, materials, and techniques to deliver impressive results – restoring a confident, natural and healthy bright smile for me.”
Pauline F.
Could All-on-4 Be Your Solution? Giving More Candidates the Results They Want
Our Round Rock dentist also offers the All-on-4® method for placing dental implants. This procedure is best for patients missing an entire arch of teeth. Rather than placing the typical six or more implants to support your dentures, Dr. Jovanovski places four implants at strategic angles to maximize contact with the jaw tissue. This method is also great for patients who have experienced minor jawbone atrophy and don't want to undergo a bone graft, as it requires less bone density than the traditional method.




